文:黃郁芩醫師
在近代牙齒矯正的治療裡,隱藏式牙齒矯正治療是一種最尖端、最高深的科技,也是現代人最需要的一種先進治療。

「隱藏式」顧名思義就是在矯正治療中,矯正器黏著於牙齒的背面(內側),因此在治療中,患者不但能得到矯正治療應有的效果,而且也不會像傳統式的矯正治療一樣矯正器黏著於牙齒外側而影響美觀,破壤形象。
牙齒矯正治療,除了因人而異會產生不同程度的不適感之外,最影響患者心理的,可說是治療期間「美觀、形象的破壞」,之前非隱藏式的矯正尚未誕生時,矯正時期小孩易被笑為「大鋼牙」,大人更難以啟口,一切的交際、工作,結婚都受影響。為了因應這樣眾多國人的需求「隱形舌側矯正治療」是國人的一大福音與希望,它讓病人能夠沒有困擾的,能夠安心的接受治療。

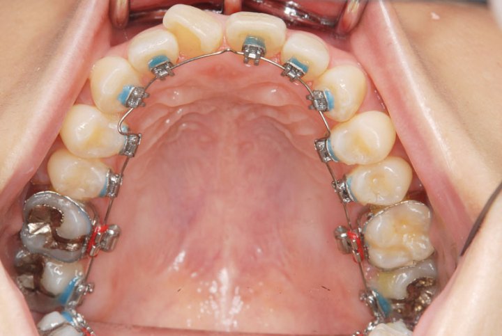
舌側矯正內側觀
各位朋友,如果您是即將進行矯正治療或是想認識隱形舌側矯正治療的話,下面的Q&A希望能給您一個正面的了解,能指引您走向正確的方向。
Q1:隱形舌側矯正治療有何不方便?
A1:隱形舌側矯正和治療傳統式(外側式)的牙齒矯正治療一樣,矯正器剛黏上的初期都有一段短時間的不方便(不習慣)。舌側矯正是舌頭的適應,傳統外側式是口唇、頰黏膜的適應。兩者適應的位置及範圍都不一樣。所以嚴格說起來,隱形舌側矯正治療的不方便和傳統外側式的矯正治療是大同小異的,都須要有適應期,不管對吃飯、講話、刷牙等初期都須要適應,但適應期都不會很長,大致在幾天至一星期內都能夠很快適應。
Q2:隱形舌側矯正治療和外側式牙齒矯正治療比較,有甚麼優缺點?
A2:
優點:
1.高度隱蔽性:絕不影響美觀破壞形象,甚至在矯正治療中去結婚,也不會因為矯正治療而有任何妨礙。
2. 較不易引起蛀牙:由於人體口腔構造,在內側有唾液腺開口,因此口腔內側(舌側)常有口水流動,食物殘渣常受口水的沖洗所以較不易停留,引起蛀牙。另一方面,口腔內側由於舌頭的活動頻繁(講話、吃東西、吞口水)等,因此口腔內側如黏上矯正器的話,它的自淨作用非常好,所以隱形舌側矯正治療比外側式治療較不易引起蛀牙。
3. 較不易因撞擊受傷:隱形舌側矯正除了舌頭的適應之外,嘴唇及頰黏膜並不會因為運動或發生意外撞擊時,而容易受傷;不會像外側式治療一樣矯正器黏於外側容易摩擦,而發生潰瘍(嘴破)。
4. 抑制不良舌癖:隱形舌側矯正,由於矯正器黏在牙齒的內側(背面),因此對於有不良舌癖的人(在吞嚥的時候或講話時,舌頭不自覺的把牙齒由內往外推或舌頭喜歡去舔嘴唇的人)在黏上矯正器後,如果舌頭還有此不良的動作的話,則舌頭會不舒服,因此無形中,有抑制不良舌癖的作用。
缺點:
1.治療初期有輕微的發音影響,須要短時間(幾天~一星期)的適應,這其中完全沒有影響的人也大有人在。
2.在牙齒的背後黏上矯正器之後,由於舌頭的活動空間突然變狹窄,因此在矯正初期舌頭的習慣,吃東西的習慣,都須要幾天的適應期,但通常都不會超過一個星期。相反的,在矯正治療完成矯正器拆掉後,舌頭的活動空間又變大,病人會感覺到口腔內很自由,很舒暢。
3.一般暴牙且附帶有深咬的人,由於治療中必須先克服深咬,才能做常規的治療程序,因此治療時間比一般外側式的治療容易拉長半年~一年。
Q3:隱形舌側矯正治療會不會痛?
A3:不管隱藏式牙齒矯正治療或外面式治療,通常產生痛,有二種原因,其一是醫師放進去的鋼線力量太強,超出了牙齒的負荷量,所產生的痛。其二是鋼線的某個部位會刺到舌頭或壓到牙齦,頰黏膜所產生的痛。一般遇到以上兩種情形時,病人可直接向醫師反應,而醫師可立即把力量降低或把刺到、壓到的地方處理掉,則您的隱形舌側矯正治療將會是一種無痛,愉快的療程。
Q4:隱形舌側矯正治療時,口腔衛生如何維持?
A4:隱形舌側矯正治療在開始治療以後,牙醫診所或醫師會指導病人正確的刷牙方法。在經過學習、練習與習慣之後如果有人還是覺得刷得不盡理想的話,也會建議使用矯正專用的電動牙刷,有必要時,甚至可以配合沖牙機及齒間刷來輔助清潔。
Q5:隱形舌側矯正治療的費用如何?
A5:隱形舌側矯正治療的材料費基本上比外側式矯正治療的材料費高,另一方面在治療上,隱形舌側矯正治療也比外側式治療難,治療的操作上也較不容易,但是實質上,了解它的價值感之後,並不認為它較貴。真正需要它的人,在想起外側式治療的種種缺點更會認為舌側矯正較便宜。
「隱形舌側矯正治療」的範圍極廣,可說包羅萬象,其中包含有:暴牙、戽斗、齒列擁擠不正、齒列稀鬆有空隙、開咬、深咬、齒列顎骨的歪斜、兔唇、顎裂患者的齒列、顎骨畸形不正等等。
「隱形舌側矯正案例分享」

隱形舌側矯正治療前

隱形舌側矯正治療過程

隱形舌側矯正治療後
在隱形舌側矯正治療時,您四周圍的人只覺得您的齒列、嘴形在不知不覺中變漂亮了,甚至最後感覺您整個臉的輪廓也變美了。另一方面,在臨床上,我們常會發現暴牙或戽斗的人,在平時的生活中有用舌頭去頂牙齒內側的壞習慣或在吞嚥食物、唾液時,不自覺的舌頭也會去頂牙齒的內側,因此在不知不覺中,暴牙或戽斗就一天天的嚴重了,對於有這些壞習慣的人,在裝了隱形矯正器後,如果他們的舌頭仍有同樣的動作的話,則每次舌頭都頂在黏在牙齒內側的矯正器上,久了以後,舌頭會產生疼痛,因此舌頭的動作在不知不覺中就會被修正及規範,以上所述是「隱形舌側矯正治療」比外「露式矯正治療」更具成效及魅力的地方。
要怎麼跟醫生預約諮詢呢?
台灣台北市錦州街360號
請來電:(02) 2517-9233