圖 / 文:黃郁芩醫師
黃醫師接觸到的牙齒矯正病人當中,除了莘莘學子之外,常遇到已步入社會工作的成年人,且年齡層有往上攀升的趨勢。這些人當中,有人是因為天生愛美,有人則是覺得甜美的笑容加上一口整齊的牙齒,能夠為自己的工作加分。尤其像是需要直接面對客戶的業務人員、百貨公司的專櫃小姐、門市人員、空中小姐等等,還有明星、模特兒等公眾人物。
然而,傳統矯正使用的金屬牙套(俗稱大鋼牙),會影響門面且不夠美觀,讓因為工作需要有好門面的人,對牙齒矯正裹足不前,遲遲不敢付諸行動。甚至部分公司的主管也會柔性勸阻。使得這些人在堅持工作崗位與追求自我完美之間,難以取捨。現在我要給大家一個兩全其美的好消息,隨著矯正技術日益進步,搭配彷彿電影未來情節中的電腦模擬輔助,你可以有新的選擇!「隱形牙套」可以幫你矯正牙齒,同時不影響你的工作,讓你有了面子又保住飯碗!
「隱形牙套」矯正,簡單來說就是外觀幾乎看不出有配帶牙套的矯正方式,大致上可分為兩種。第一種是貼在牙齒舌側面的舌側矯正;第二種是使用透明牙托的隱形矯正。這兩種矯正方式,矯正技術難度高、牙托製作過程複雜繁瑣,由於只有受過矯正專科訓練的牙醫師才能夠精確掌握其技巧,以致於長久以來不如傳統牙套矯正方式普及。所幸隨著現代科技技術的進步,矯正器製作得越來越精巧,並可透過電腦輔助,仔細地分析及控制矯正的每個細節,讓「隱形牙套」矯正變得不再遙不可及,提供了愛美的人士,拋開大鋼牙之名的新選擇。
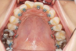
您心動了嗎?行動前,讓我簡單跟您說說這兩種隱形牙套各自的優缺點,讓您的牙醫知道你也有做足功課!第一種隱形矯正,是把矯正器貼在牙齒的內側面,也就是牙齒的舌側面(圖一),所以也稱為「舌側矯正」。
最早的舌側矯正器大約是三十年前,由日本的藤田欣也矯正醫師研發出來的。這種「舌側矯正」之所以稱為「隱形矯正」,就是從外面完全看不到矯正器(圖二),沒有人會知道您在做牙齒矯正,這是它最大的優點。值得相比的是,傳統的矯正,也就是所謂的唇側矯正,是把矯正器貼在牙齒的表面,若您沒有認真清潔牙齒,很容易在矯正器周圍的牙齒表面形成脫鈣或蛀牙等後遺症,破壞牙齒潔白的表面,對日後的美觀性有很大的影響。「舌側矯正」,因為矯正器不會貼在牙齒的表面,當然就不會有造成牙齒表面脫鈣蛀牙等問題,這是一項很吸引人的優點。然而,舌側矯正的缺點是異物感頗重,因為舌頭是很敏感的器官,適應矯正器的時間,通常需要較傳統的矯正稍微長一些,另外還可能有舌頭刮破等問題。
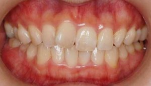
第二種隱形矯正方式是使用一系列的「透明牙托」(圖三)進行牙齒矯正,並不使用矯正器。透過電腦分析與模擬,需要定期更換新的牙托,讓牙齒跟著電腦模擬出來的牙齒移動路徑移動,逐步完成牙齒矯正。它的優點是戴上「透明牙托」時,沒有刻意睜大眼睛近距離盯著看,並不容易看出來(圖四)。沒有主動告知,別人也很難知道您在做牙齒矯正。

舌側矯正內側觀
要吃東西的時候,只需要用手輕鬆取下牙托,就可以像一般人一樣優雅地享受各種美食,完全不需擔心矯正器可能卡到菜渣的尷尬窘境。刷牙時,因為完全沒有東西黏在牙齒上面,照平常習慣的刷牙方式即可。完全不像傳統大鋼牙那樣麻煩,需要再用輔助工具加強清潔。不過,缺點則在於使用「透明牙托」的病患必須要具備較高的自我管理意志,因為只有乖乖按照時間佩戴(一般建議每天至少戴17至22個小時),才有牙齒矯正的效果。否則不「戴」在嘴巴裡,而「帶」在口袋裡,只會平白浪費了昂貴的矯正費用、寶貴的時間和醫生的苦心。
在微整型蔚為風潮的現代社會裡,牙齒矯正也同步吹起一股微整風!「隱形牙套」可以讓你悄悄的、舒適的,在不被別人發現的情況下,不知不覺地變美麗!不過也要提醒您,「隱形矯正」較一般傳統的唇側矯正困難,自己的牙齒狀況適不適合做「隱形矯正」,且適合做哪一種的「隱形矯正」,都建議民眾要找有接受過矯正專業訓練的「齒顎矯正專科醫師」諮詢,才能確保您可以擁有一口亮麗整齊的牙齒!


