圖 / 文:黃郁芩醫師

大鋼牙Bye Bye – 為你量身打造的黃金隱形矯正
前一篇介紹隱形矯正的文章登出後,陸續收到許多讀者的好奇與回響。黃醫師發現真的很多人都會因為擔心帶著傳統矯正器(俗稱大鋼牙)可能的「驚人相貌」而裹足不前。隨著電腦科技日益進步,隱形矯正器的設計不斷進化、推陳出新,提供民眾更好生活品質與優雅的笑容。本文將介紹大家一款最新的「黃金隱形舌側矯正器」,配帶起來舒適度更佳。
「舌側矯正」是指將矯正器貼在牙齒的內側面,與傳統貼在牙齒外側的唇側矯正最大不同就是矯正者不需忍受自己驚人的大鋼牙相貌;不論講話或微笑時,牙齒外觀和正常人沒有任何不同,別人只會發現你的牙齒越來越整齊美觀!除了美觀之外,還有維護牙齒健康上一大好處:可以大大減少牙齒表面脫鈣蛀牙的機率。根據學者統計,唇側矯正(大鋼牙)牙齒脫鈣比例是舌側矯者的五倍!所以舌側矯正可以說是兼顧美觀與健康的矯正新選擇。
舌側矯正的挑戰是舌頭異物感重,矯正者適應期較長,這個問題拜電腦科技進步之賜,目前最新、最成熟的隱形矯正系統首推3M Incognito舌側矯正系統(圖一),可以說是一套量身打造的超薄黃金矯正器。

圖一,3M Incognito舌側矯正系統
傳統的矯正治療,不論是唇側或是舌側,都是依矯正醫師個人習慣偏好選擇矯正器,幫病人治療。簡單來說,就像去買衣服,只能夠選擇S、M或L尺寸,不是像量身訂作那樣合身舒適。而3M Incognito舌側矯正系統採用的是完全客製化的方式,依照矯正者本身的牙齒輪廓,以K金材質,製作出目前最薄、最舒適和易於調整操作的舌側矯正器。
以下簡述採用這套矯正系統的流程:
-
-
- 與矯正醫師咨詢決定採用此系統後,矯正醫師需先對您的牙齒形狀精確地取模,並將印模和矯正治療計畫快遞寄送美國3M舌側矯正應用系統原廠。
- 專業的原廠技工會將印模製作牙齒的排列模型,掃描進電腦,並與矯正醫師共同討論、確認矯正器的設計和治療計畫。
- 運用電腦輔助設計(CAD)/電腦輔助製造(CAM)技術為您量身打造獨一無二的客製化舌側矯正器與矯正線(圖二)。

圖二
-
4. 美國原廠製作完成您專屬的矯正器與矯正線後,再寄送至矯正醫師,依治療計畫,按時為您配戴和治療(圖三)。

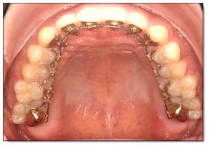
圖三

圖三 A,3M Incognito舌側矯正口內觀

圖三B,3M Incognito舌側矯正治療中外觀
因為個人專屬客製化,整個製作、來回國際寄送的時間約需一至兩個月。透過依照每位矯正者的牙齒表面去製作矯正器,可以達到緊密貼合牙齒,大幅降低異物感,是目前所有舌側矯正器最薄,這是最大的優點!矯正器由黃金製成,更適合口中配帶。舌側矯正技術較為困難與複雜,沒有經過矯正專科訓練和持續進修的牙醫師使用的意願不高。筆者早先在台灣尚未有此incognito系統的認證訓練時,已自赴海外完成訓練認證,(今年四月台灣才剛開始有第一期的認證訓練)。
黃醫師更特地前往日本京都宇治市,參訪專門使用此系統的居波矯正診所(圖四),為期一星期,實際了解使用者的狀況和感受。居波院長從2008年就開始使用此系統,至今2013年每個來院求診的病患,不論大人小孩、男性女性,都要求使用此舌側矯正系統,可見已為要求極高的日本民眾所接受,真的稱得上是一套美觀與舒適兼得的矯正系統。
從現在開始,大家也可以享受到這套系統帶來的種種好處了!

圖四,日本居波診所參訪合影