文:黃郁芩醫師
今天來了一位舌側矯正的美女,很高興地跟黃醫師分享:「黃醫師!我發現我吃完飯後用珍奶的珍珠,可幫我把菜渣都黏起來,幫助我清潔矯正器耶!」

黃醫師必須說,這還是執業以來,第一次聽到,差點下巴都要掉下來了!!!
但因為這位美女每次來看牙,牙齒清潔度是沒有被黃醫師碎念過。所以⋯⋯我們就⋯⋯感謝她的分享,姑且當成「都市傳說」吧!🤣😝
圖文:黃郁芩醫師
黃醫師在幫日本高橋夫妻逐步口譯口腔肌功能的課程之後,回到臨床上,最常被病人問到的問題就是,『我要怎麼知道自己的舌頭有沒有問題?』
事實上,要判斷舌頭的大小或運動問題,真的很難有個客觀的標準來說明。然而大部分的病人,會覺得自己的舌頭看起來很大,或看起來太厚,其實很有可能是因為舌頭肌肉過於鬆弛。
此時,我們會建議先加強舌頭本身肌肉的力量,進行彈舌(Popping)等訓練,讓舌頭先緊實起來之後,再重新判定。
高橋夫妻也分享,雖然早期有些日本醫師很果決地看到病人大舌頭就進行切舌頭的手術,但他們自己的臨床實際經驗,需要做到舌頭縮小術的比例,其實趨近於零。
那大家要如何判斷自己的舌頭運動有無問題,可由以下三點來判斷:

圖文:黃郁芩醫師
今天黃醫師被外包到 – 煥顏口腔顎面外科診所進行一場埋伏阻生齒的手術!小編滿頭黑人問號???
小編:「什麼是“埋伏”阻生齒?!是要躲起來嗎?」
黃醫師:「的確可以說是牙齒躲起來囉!埋伏阻生齒就是該長出來的牙齒沒有長出來,結果牙齒無法依正常的路徑順利長出反而藏在骨頭裡。」
繼續閱讀圖文:黃郁芩醫師
上週連續兩個整天的逐步口譯。黃醫師到今天才有力氣整理照片交功課給小編。就知道黃醫師真的是累爆了🤣🤣🤣😅

儘管黃醫師已經花了很長的時間做這次的口譯準備,還在三月時飛到日本跟高橋醫師夫婦做第一次的會前討論。
繼續閱讀圖文:黃郁芩醫師
上半年度黃醫師接任的重要翻譯任務,就在上周末來到了 – 口腔肌功能療法(MFT)的臨床與實務研討會!為了這次的翻譯工作,從三月開始,每天晚上都挑燈夜戰準備需要翻譯的內容,但還是覺得彷彿有準備不完的書要唸完啊!😭😭😭

想知道這一根根的冰棒棍,是要做什麼啊?
繼續閱讀圖文:黃郁芩醫師
牙齦健康是整體健康的重要組成部分。牙齦健康不佳會導致許多健康問題,例如心髒病和糖尿病。大家可以每天使用牙線和健康飲食來保持牙齦的健康。研究表示,許多食物也可以支持牙齦健康。

圖文:黃郁芩醫師
久違了的北醫校園,尤其是疫情過後,上課教室也重新整理過,整個煥然一新的感覺!羨慕幸福的學弟妹們!❤️

一直以來北醫都積極培養世界公民,強調學生的自律力,更重視同理心、公德心,推動有品的北醫人;也強調利他力,推動大學的社會責任;強調公民力,重視扶弱心、省思心,也很重視弱勢關懷,讓身為北醫人的我,很自豪呢!
繼續閱讀圖文:黃郁芩醫師
你有測試過自己的刷牙的力道,是不夠力,還是太大力?好奇自己刷牙的力道大小到底正不正確嗎?
也許你有的時候會被牙醫師說:「你刷得太用力了?!」
還是當你在幫小朋友刷牙時,小朋友唉唉叫?!有想過會不會有可能是家長你太過心急,結果不小心施力過大?
黃醫師分享在日文雜誌上看到的好方法!
只需要家裡有廚房用的電子秤,拿來測試,就可輕鬆確認自己的刷牙力道囉!

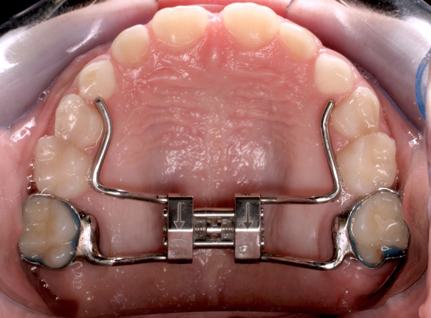
圖文:黃郁芩醫師
小病人做例行洗牙、塗氟檢查時,牙醫問了媽媽:「小朋友平時睡覺會打呼或是磨牙嗎?」
媽咪驚訝地回答:「醫生!你怎麼知道?會噎!他才二年級,就會這樣,我還想學校壓力這麼大嗎?」🤣
牙醫說,因為他的上顎過窄,所以會讓他的呼吸比較不順暢,就容易會打呼!

所以正在生長發育期的小朋友,若經矯正醫師診斷,發現上顎過於狹窄,可以配戴「上顎擴張裝置」(Palatal Expender),使上顎寬度增大,間接使鼻呼吸道增大,也可減少未來因牙弓過小、牙齒參差不齊,需要做拔牙矯正的治療。在小朋友鼻子能夠通氣的情況下,建議讓他練習閉上嘴唇,用鼻子呼吸。
黃醫師也建議家長要把握學齡前,小朋友的門牙、恆牙剛長出來,上顎牙弓還沒有定型前,帶孩子事先檢查諮詢喔!
圖文:黃郁芩醫師

相信大家應該都知道哈利波特裡有一個魔法道具,那就是隱身衣 (Invisibility cloak),它可以讓穿上的人或者物品隱形而完成主人想完成的事,就像隱形牙套一樣!

一般來說隱形牙套是由醫療熱塑性材料製成的,配戴舒適、外型美觀,加上可以自由取下,飲食相對不受限制,但是在使用上仍然有需要注意的事項!
繼續閱讀